Home > Áö³­¿¬Àç ´Ù½Ãº¸±â > Áö³­¿¬Àç ¸®½ºÆ®
¼èµµ ³ìÀÌ´Â °­»êÀÇ Á¦Á¶ÀÚ À§ÀÇ º®¼¼Æ÷
À½½Ä¹°ÀÇ ºÐÇØ ÃËÁø½ÃŰ°í ¼ÒÈ­µµ¿Í À§ Á¡¸· º¸È£À§ÇØ Á¡¾×¹°Áú·Î ±ÕÇüÀÌ·ï <»çÁø: À§ Á¡¸· Ç¥¸éÀ» 3,000¹è·Î È®´ëÇÑ ÀüÀÚÇö¹Ì°æ»çÁø> ¿ì¸® ¸ö¿¡¼­´Â Áöµ¶ÇÑ °­»ê.... ¤ÓÀ̹̳ª ±âÀÚ 2008-11-14
Àå¿¡¼­ ¼³»ç¸¦ À¯¹ßÇÏ´Â ¼¼Æ÷
µ¶¼º À½½Ä µé¾î¿À¸é ¹è¼³ ÃËÁøÇØ Àå¾Ä¾î ¸ö º¸È£ÇÏ´Â ¹ÝÀÀÀÌÀÚ ½ÄÁßµ¶¿¡ ´ëÇÑ °æ°í <»çÁø: ¼ÒÀåÀ» ±¸¼ºÇϰí ÀÖ´Â(°¥»ö) ¼¼Æ÷ Áß¿¡ ½Å°æ³»ºÐºñ¼¼Æ÷·Î ºÎÀûÀýÇÑ À½½Ä¹°ÀÇ À§Çè.... ¤ÓÀ̹̳ª ±âÀÚ 2008-10-10
Ç÷¾×À» ±ú²ýÀÌ ÇÏ´Â ¿©°úÀåÄ¡ ÄáÆÏ
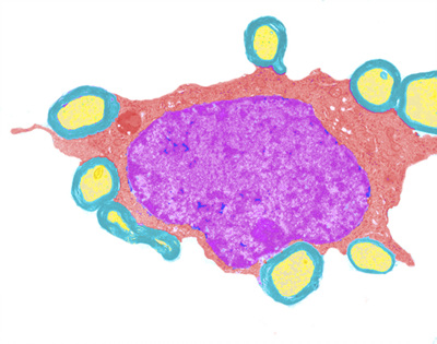
ÄáÆÏ Çϳª¿¡ ¾à 150¸¸°³ÀÇ ¿©°úÀåÄ¡ ÀÖ¾îÇÊ¿äÀÌ»ó ¸ö¿¡ µé¾î¿Â °ÍÀº ¼Òº¯À¸·Î ³»º¸³»<»çÁø= ½ÅÀåÀÇ ¿©°ú¸· Ç÷°üÀ» ÃÔ¿µÇÑ ÀüÀÚÇö¹Ì°æ »çÁøÀ» ÄÄÇ»ÅÍ·Î »ö»ó ó¸®ÇÑ »çÁø. ÀûÇ÷±¸¿Í.... ¤ÓÀ̹̳ª ±âÀÚ 2008-09-11
¸Å¿ì ÀÛÀº ÅÐ ¸ð¾çÀÇ ¼¶¸ð
È£Èí±â ¼ÓÀÇ °¢Á¾ ¸ÕÁö¿Í ¹Ì»ý¹° ¹èÃâ½ÃÄѿ츮 ¸öÀÇ ±âµµ¿Í Æó ±ú²ýÇÑ »óÅ·ΠÀ¯ÁöÀڱó»ÀÇ Âø»ó µµ¿Í ÀÓ½ÉÇÒ ¼ö ÀÖ°Ô Çϱ⵵ <»çÁø=Äà¼ÓÀÇ ¼¶¸ð¼¼Æ÷¸¦ ÀüÀÚÇö¹Ì°æÀ¸·Î ¾à 10,0.... ¤ÓÀ̹̳ª ±âÀÚ 2008-08-15
½Å°æ¼¼Æ÷¿Í »ó»ý, Èñ¼Òµ¹±â¾Æ±³¼¼Æ÷
¸ð¾ç, ±â´É ´Þ¶óµµ ¼­·Î ²À ÇÊ¿äÇÑ Á¸Àç ÁßÃ߽Ű濡¼­ ½Å°æ¼¼Æ÷ ´º·Ð º¸È£ÇØ <»çÁø¼³¸í = ÇϳªÀÇ Èñ¼Òµ¹±â¾Æ±³¼¼Æ÷¸¦ ÀüÀÚÇö¹Ì°æÀ¸·Î ÃÔ¿µÇϰí ÄÄÇ»ÅÍ·Î »ö»ó ó¸®ÇÑ »çÁø. .... ¤ÓÀ̹̳ª ±âÀÚ 2008-07-11
ÀÌÅä¼¼Æ÷´Â °£ 1.4%Â÷Áö, Å« ¿µÇâ·Â ÀÖ¾î
ºñŸ¹ÎA Áö¹æ¹æ¿ï ÇüÅ·Π¼¼Æ÷¾È¿¡ ÀúÀå°¨¿°À̳ª ¼Õ»ó ¹ÞÀ¸¸é °£°æÈ­ ¿øÀÎ µÇ±âµµ »çÁø¼³¸í= Áö¹æ¹æ¿ï(³ë¶õ»ö)¿¡ ºñŸ¹ÎA¸¦ ÀúÀåÇϰí ÀÖ´Â °£ÀÇ ÀÌÅä¼¼Æ÷¸¦ ÀüÀÚÇö¹Ì°æÀ¸·Î ÃÔ¿µÇÑ °Í..... ¤ÓÀ̹̳ª ±âÀÚ 2008-06-05
´ÞÆØÀ̰üÀº û¼¼Æ÷ ÀÖ¾î °ø±âÁøµ¿ °¨°¢
ÁßÀÌÀÇ À̼Ұñ Áö³ª ´ÞÆØÀ̰üÀ¸·Î ¼Ò¸® Àü´Þ û»öÆ÷´Â 1ÃÊ¿¡ ¼öõ¹ø Áøµ¿ÇØ ¼Ò¸® °­¾à Á¶À² <»çÁø¼³¸í = ±ÍÀÇ ´ÞÆØÀ̰ü ²®ÁúÀ» ±ú°í ³»ºÎ¸¦ µé¿©´Ù º» ÀüÀÚÇö¹Ì°æ »çÁø>.... ¤ÓÀ̹̳ª ±âÀÚ 2008-05-09
Ç÷¾×ÀÇ ¿ª·ù¸¦ ¸·¾ÆÁÖ´Â ÆÇ¸·
½É¹æ°ú ½É½Ç »çÀÌ¿¡ À§Ä¡, ÇÑ ¹æÇâÀ¸·Î ¿­°í ´ÝÇôÁ¤¸ÆÇ÷¾×ÀÌ ½ÉÀåÀ¸·Î µ¹¾Æ°¡µµ·Ï ¿ªÇÒ ¼öÇà »çÁø¼³¸í = Á¤¸ÆÇ÷°üÀÇ ÆÇ¸·(³ì»öÁ¡¼±)ÀÇ ÀüÀÚÇö¹Ì°æ»çÁø, Ç÷¾×ÀÇ È帧(³ë¶õ»ö È­»ìÇ¥) .... ¤ÓÀ̹̳ª ±âÀÚ 2008-04-09
ÅëÁõÀ» À¯¹ßÇÏ´Â ºñ¸¸¼¼Æ÷
ÀÏÁ¾ÀÇ Æ¯¼ö È­ÇÐ Àü´Þ¹°Áú·Î ÁÖº¯ ¼¼Æ÷ ÀÚ±ØÇ÷¾× ¼ÓÀÇ ¸é¿ª °ü·Ã ¹éÇ÷±¸ ¸ð¾Æ ¸é¿ª¹ÝÀÀ À¯µµ <»çÁø: ÇϳªÀÇ ºñ¸¸¼¼Æ÷¸¦ Åõ°úÀüÀÚÇö¹Ì°æÀ¸·Î ÃÔ¿µÇÑ »çÁøÀ¸·Î û»öÀÇ ÇÙ ÁÖº¯.... ¤ÓÀ̹̳ª ±âÀÚ 2008-03-07
Àηù À¯»öÀÎÁ¾ Â÷º°ÀÇ ±Ù°Å ¡®Èæ»ö¼¼Æ÷¡¯
Àڿܼ± Â÷´ÜÇϰí ÇǺΠ¹ØÀÇ ¼¼Æ÷ º¸È£ÇذËÀºÇǺδ ¿­´ë Áö¿ª¿¡¼­ °æÀï·Â ÀÖ¾î »çÁø¼³¸í: ÇǺο¡ Á¸ÀçÇÏ´Â Èæ»ö¼¼Æ÷ÀÇ °ËÀº °ú¸³À» ÀüÀÚÇö¹Ì°æÀ¸·Î ÃÔ¿µÇÑ »çÁø ¿ì¸® ¸öÀÇ ¼¼Æ÷ Áß¿¡.... ¤ÓÀ̹̳ª ±âÀÚ 2008-01-11
ÀÎü °¨°¢ Áß °¡Àå Áß¿äÇÑ °÷ ¡®´«¡¯
¸ö¿¡¼­ À¯ÀÏÇÏ°Ô ºû °¨ÁöÇϴ Ư¼ö ±â°ü´«Àº ÁßÃ߽ŰæÀÎ ³úÀÇ ÀϺηΠº¼ ¼ö ÀÖ¾î <»çÁø= ºûÀ» °¨ÁöÇÏ¿© Àü±â½ÅÈ£·Î ¹Ù²ãÁÖ´Â ¸Á¸·À¸·Î ¿øÃß¼¼Æ÷ ÀϺθ¦ Åõ°úÀüÀÚÇö¹Ì°æÀ¸·Î ÃÔ¿µ.... ¤ÓÀ̹̳ª ±âÀÚ 2007-12-02
¡®ºÐ³ëÀÇ È£¸£¸ó¡¯ ¾Æµå·¹³¯¸°
»ê¼Ò, ¿µ¾çºÐ °ø±ÞÇÏ¸ç ½Åü Ȱ¼ºÈ­½ÃÄÑ ½ºÆ®·¹½º ½×ÀÏ ¶© ¿ÀÈ÷·Á µ¶ÀÌ µÉ ¼öµµ <»çÁø¼³¸í- ºÎ½Å È£¸£¸ó ¼¼Æ÷ÀÇ ÀüÀÚÇö¹Ì°æ»çÁø, 12,000¹è> ¿ì¸® ¸öÀÇ È£¸£.... ¤ÓÀ̹̳ª ±âÀÚ 2007-11-08
¸¶ÀÌÅ©·Î¿ùµå - Áö¹æ°£¼¼Æ÷
°£Àº ÀÎü¿¡¼­ °¡Àå Å©°í ¹«°Å¿î ³»ºÎ±â°üü³× °ú·® ¿µ¾ç °ø±ÞÀº Áö¹æ°£ ÀÏÀ¸Å³ ¼ö ÀÖ¾î ÀÎü ³»ºÎÀÇ ±â°ü Áß¿¡¼­ °¡Àå Å©°í ¹«°Å¿î ±â°üÀ̶ó¸é ´ç¿¬È÷ °£ÀÌ´Ù. ¼ºÀÎÀÇ °æ¿ì ¾à 2..... ¤ÓÀ̹̳ª ±âÀÚ 2007-10-12
°ñ±âü, ÀÎüÀÇ °¢Á¾ ¹°ÁúÀ» ¸¸µå´Â °øÀå
¹ß°ß °úÇÐÀÚÀÇ À̸§ µû¼­ ¸í¸í Çö¹Ì°æÀ¸·Î º¸¾Æ¾ß °Ü¿ì º¸ÀÌ´Â ÀÛÀº ¼¼Æ÷°¡ Çʿ信 ÀÇÇØ ¸¸µé¾î ³»´Â °¢Á¾ÀÇ ¹°ÁúÀº ÃÖÁ¾ÀûÀ¸·Î °ñ±âü¸¦ °æÀ¯ÇÑ´Ù. ¼¼Æ÷³»ÀÇ ¼Ò±â°ü Áß¿¡ À¯ÀÏÇÏ°Ô .... ¤Ó2007-09-07
[À±Ã¶Á¾ÀÇ ¸¶ÀÌÅ©·Î¿ùµå] ¸¶À½ÀÇ Ã¢¹®, ÇǺÎ
¡°¿ÜºÎÀÚ±ØÀ¸·ÎºÎÅÍ ¸öÀ» º¸È£Çؿ䡱°Ç°­»óÅ ³ëÈ­Á¤µµ ¾Ë·ÁÁÖ´Â ¹Ù·Î¹ÌÅÍ ¿ì¸® ¸ö¿¡¼­ °¡Àå Å« ±â°üÀ̶ó¸é ¼ÒÈ­±â°ü Áß¿¡¼­µµ ¼ö¸¹Àº Á¾·ùÀÇ ÀÏÀ» ÇÏ´Â °£À̶ó°í ÇÏ´Â »ç¶÷ÀÌ ÀÖ´Ù. ¼ºÀÎ .... ¤Ó¹ÚÀçÇü ±âÀÚ 2007-08-08
°áÇÙ±Õ
Ä¡·áÆ÷±â ½Ã¿¡´Â ½´ÆÛ³»¼º°áÇÙ ÃâÇö²ÙÁØÇÑ ¿îµ¿°ú ¿µ¾ç°ü¸®·Î ¿¹¹æÇØ¾ß °áÇÙÀº °ú°Å ¸¹Àº ¼Ò¼³À̳ª ¿µÈ­, µå¶ó¸¶¿¡¼­ ÁÖÀΰøÀÌ °É·Á Á×´Â ½½Ç À̾߱⸦ À̲ô´Â Áúº´À̾ú´Ù. ¿äÁò¿¡´Â ¾ÏÀÌ.... ¤Ó¹ÚÀçÇü ±âÀÚ 2007-07-04
[À±Ã¶Á¾ÀÇ ¸¶ÀÌÅ©·Î¿ùµå] »õ»ý¸íÀÇ ÅÔ¹ç ³­ÀÚ
Á¤ÀÚ¿Í ¸¸³¯ ¶§ »ý¸íÀÇ ½Åºñ ½ÃÀÛµÅÆó°æ±â±îÁö 400°³ °¡·® ¸¸µé¾î ¿©¼ºÀÇ »ý½Ä¼¼Æ÷ÀÎ ³­ÀÚ´Â ³²¼ºÀÇ Á¤ÀÚ¿Í ÇÔ²² »õ»ý¸íÀ» ¸¸µé ¼ö ÀÖ´Â ¼¼Æ÷ÀÌ´Ù. ³­ÀÚ´Â ¿©¼ºÀÇ ¸ö¿¡¼­¸¸ ¸¸µé¾îÁö´Â.... ¤Ó¹ÚÀçÇü ±âÀÚ 2007-06-07
[À±Ã¶Á¾ÀÇ ¸¶ÀÌÅ©·Î¿ùµå] Ç÷°üÀ» ¼ö¸®ÇÏ´Â Àç·á, Ç÷¼ÒÆÇ
¸ö ¼Ó °¡Àå ÀÛÀº ¼¼Æ÷Á¶°¢µé·Î ±¸¼ºÃâÇ÷ µî ¹®Á¦»ý±â¸é °¡Àå ¸ÕÀú Ã⵿ ¿ì¸®ÀÇ ¸ö ¼Ó¿¡ Ç÷°üÀ» ÇÑ ÁÙ·Î ±æ°Ô Àմ´ٸé Áö±¸ÀÇ Àûµµ¸¦ µÎ ¹ÙÄû ¹ÝÀ» µ¹ Á¤µµÀÇ ±ä Ç÷°üÀÌ ÀÖ´Ù. ±×·¯.... ¤Ó¹ÚÀçÇü ±âÀÚ 2007-05-09
[À±Ã¶Á¾ÀÇ ¸¶ÀÌÅ©·Î¿ùµå] ¼¼Æ÷ ³» ¹ßÀü¼Ò ¹ÌÅäÄܵ帮¾Æ
Á¦ ¿ªÇÒ ¸øÇÒ ¶© ¸öÀÌ ¾ÆÆÄ¿ä¿µ¾çºÐ Å¿ö ¿¡³ÊÁö·Î ¹Ù²ã Áà ¿ì¸® ¸ö¿¡¼­ È£ÈíÀ» ´ã´çÇÏ´Â ±â°üÀº Æó´Ù. Æó´Â ¸ö¿¡ ÇÊ¿äÇÑ »ê¼Ò¸¦ °ø±â Áß¿¡¼­ ¹Þ¾Æµé¿© ½ÉÀåÀÇ Á½ɽǿ¡¼­ ºÐÃâÇÏ¿© µ¿.... ¤Ó¹ÚÀçÇü ±âÀÚ 2007-04-06
[À±Ã¶Á¾ÀÇ ¸¶ÀÌÅ©·Î¿ùµå] ¼¼Æ÷ÀÚ¸ê»ç
ºÒÇÊ¿äÇÑ ¼¼Æ÷, ½º½º·Î ¾ø¾îÁ®ÀÚ¹ßÀû ±¸Á¶Á¶Á¤ ÅëÇØ °Ç°­À¯Áö Áö±¸»óÀÇ ¼ö¸¹Àº »ý¸íü´Â »ýÁ¸°ú ¹ø½ÄÀ» À§ÇÑ º»´ÉÀûÀ̰í ÀÇÁöÀûÀÎ ¸ð½ÀÀ» º¸ÀδÙ. ž¼­ ¼ºÀåÇÏ°í ¼º¼÷Çϸç ÀڽŰú ´àÀº.... ¤Ó¹ÚÀçÇü ±âÀÚ 2007-03-09
 1 ¤ý 2 ¤ý 3 ¤ý 4 ¤ý 5 ¤ý 6 ¤ý 7 ¤ý 8 ¤ý 9