Home > Áö³­¿¬Àç ´Ù½Ãº¸±â > Áö³­¿¬Àç ¸®½ºÆ®
Çϳª´Ô ã´Â ¿µÀû °¨°¢Àº Àηù¿¡°Ô Áֽм±¹°
´Ù¾çÇÑ °¨°¢ ºÐÆ÷µÈ ¿ì¸®ÀÇ ¸ö »ç¶÷Àº ÁÖº¯ÀÇ Àڱؿ¡ ´ëÇØ ´Ã ¹ÝÀÀÇÏ¸ç »ì¾Æ°£´Ù. ¿ÜºÎ¿¡¼­ ÁÖ¾îÁö´Â ÀÚ±ØÀ̵çÁö ȤÀº ³»ºÎ¿¡¼­ ÁÖ¾îÁö´Â ÀÚ±ØÀÌ¶óµµ À̸¦ °¨ÁöÇÒ ¼ö ÀÖ´Â ´É·ÂÀÌ ÀÖ´Ù..... ¤Ó2011-01-07
ÃßÀ§¿Í ³úÇ÷°ü
Ç÷°üÀÌ ¼öÃàµÇ´Â °Ü¿ï, °íÇ÷¾Ð ȯÀÚ µîÀº °¢º°È÷ Á¶½ÉÇØ¾ß <»çÁø¼³¸í:½ÉÀå¼¼Æ÷ »çÁøÀ» È®´ëÇÑ »çÁø> ÀÌÁ¦´Â °Ü¿ïÀÌ´Ù Ãß¿î ³¯ÀÌ ´õ ¸¹¾ÆÁö°í ÃßÀ§¸¦ °ßµð´Â Áغñ¿Í ³ë·Â.... ¤ÓÀ̹̳ª ±âÀÚ 2010-12-10
ÁÖÀǷ°áÇÌ °úÀ×Çൿ Àå¾Ö
ÅÂÃʺÎÅÍ Çϳª´ÔÀÇ Ã¢Á¶¼¼°è¿¡´Â ´Ù¾çÇÑ ¼ºÇ°°ú ¼ºÇâÀÇ »ç¶÷µéÀÌ ¸ð¿©¼­ °øµ¿Ã¼¸¦ ÀÌ·ç°í »ê´Ù. ºñ½ÁÇÑ ¾ó±¼°ú ¼ºÇ°Àº À־ µ¿ÀÏÇÑ »ç¶÷ÀÌ ¾øµíÀÌ ´Ù¾ç¼ºÀ» ÀÌ·ç°í ÀÖ´Â Áö±¸°øµ¿Ã¼ÀÌ´Ù. .... ¤Ó2010-11-12
Ä¡¾Æ¸¦ º¸È£Çϰí ÁöÁöÇØ ÁÖ´Â ÀÕ¸ö
»óÇǼ¼Æ÷°¡ ²÷ÀÓ¾øÀÌ Àç»ýÇϸç ÀÔ¾È º¸È£ ÁÁÀº ½À°ü °¡Áö°í Ä¡¾Æ¿Í ÀÕ¸ö Àß À¯ÁöÇØ¾ß ¾Æ¸§´ä°í °­ÇÑ Ä¡¾Æ°¡ À־ ÀÕ¸öÀÇ µµ¿ò ¾øÀÌ´Â °áÄÚ Ä¡¾Æ°¡ ¿ÂÀüÇÒ ¼ö ¾ø´Ù. ÀÕ¸öÀº ÀÔ¾ÈÀÇ ¸ð.... ¤Ó2010-10-08
À½½ÄÀÇ ¸ÀÀ» ¾Ë°í Àß°Ô ºÎ½¤ÁÖ´Â Ä¡¾Æ
ưưÇÑ Ä¡¾Æ´Â ¿µ¾çºÐ °ñ°í·ç ¼·ÃëÇÒ ¼ö ÀÖ°Ô ÇØÁà Áö³­ ¿©¸§Ã¶Àº À¯³­È÷ »ç¿ì³ª ÅÁ °°Àº ¹«´õÀ§¿Í Æø¿°, ±×¸®°í ÀÚÁÖ ºñ°¡ ³»·È´Ù. ±×·¯³ª ÀÌÁ¦ °¡À»ÀÇ ½ÃÀÛÀÎ 9¿ù¿¡ Á¢¾îµé¾ú´Ù. .... ¤ÓÀ̹̳ª ±âÀÚ 2010-09-10
Àå Á¡¸·°ú ¸é¿ª¼¼Æ÷
Àå¼¼Æ÷, ¸ö¿¡ µé¾î¿À´Â ¿µ¾ç¼ÒÀÇ Èí¼ö¿Í ¹è¼³ ¼±Åà ½ÊÀÌÁöÀåÀÇ Àå¼¼Æ÷(°¥»ö) »çÀ̸¦ ºñÁý°í ´Ù´Ï¸ç °¨½ÃÇÏ´Â ÇϳªÀÇ Àӯı¸(û»ö)¸¦ ÀüÀÚÇö¹Ì°æÀ¸·Î 3000¹è È®´ëÇÑ »çÁø.... ¤ÓÀ̹̳ª ±âÀÚ 2010-08-06
Ç÷°ü ³»ºÎ¸¦ ÀÌ·ç´Â ¡®³»ÇǼ¼Æ÷¡¯
Ç÷¾×ÀÇ È帧 µ½°í Ç÷°ü º®ÀÇ Ã»°á À¯Áö½ÃŰ´Â ¼¼Æ÷ <»çÁø¼³¸í = Ç÷°ü ´Ü¸éÀ» Àß¶ó º¸¸é ¾î´À °÷ÀÌµç ³»ÇǼ¼Æ÷(û»ö)°¡ °üÂûµÈ´Ù. ÀüÀÚÇö¹Ì°æ»çÁø 2000¹è È®´ë> .... ¤ÓÀ̹̳ª ±âÀÚ 2010-06-18
È£Èí°ú ±âµµ
È£ÈíÀ» ÅëÇØ »ê¼Ò°¡ °ø±ÞµÅ¾ß »ì ¼ö ÀÖ¾î¿ì¸®ÀÇ ½Å¾Óµµ ¼º·ÉÀÇ ²÷ÀÓ¾ø´Â °ø±Þ ÇÊ¿ä ¼¼Æ÷´Â »ì¾ÆÀÖ´Â »ý¸íÀÇ ±âº» ´ÜÀ§·Î¼­ È£ÈíÀ» ÇØ¾ß »ê´Ù. ¿ì¸® ¸öÀÇ ¼¼Æ÷µéÀº »ê¼Ò¸¦ °ø±Þ¹Þ¾Æ¾ß.... ¤ÓÀ̹̳ª ±âÀÚ 2010-03-12
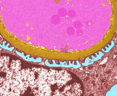
¹®¾îó·³ »ý±ä ¡®¹®¾î¹ß¼¼Æ÷¡¯
¸ð¼¼Ç÷°üÀ» ³»ºÎ ¾Ð·ÂÀ¸·ÎºÎÅÍ º¸È£ÇÏ´Â ¿ªÇÒ <»çÁø: ¹®¾î¹ß¼¼Æ÷(Àû°¥»ö)°¡ ¸ð¼¼Ç÷°ü(ºÓÀº»ö)ÀÇ ¿©°ú ¸·(³ë¶õ»ö)À» °¨½Î°í ÀÖ´Â Çö¹Ì°æ»çÁø> ¿ì¸® ¸ö¿¡ ÀÖ´Â ¸¹Àº .... ¤ÓÀ̹̳ª ±âÀÚ 2009-11-06
¿ì¸®¸öÀÇ ¶¡°ú Å»¼öÇö»ó
ü¿ÂÀ¯Áö À§ÇØ ÇǺÎÀÇ ¶¡»ù ÅëÇØ ¶¡ ºÐºñ½ÉÇÏ°Ô ¶¡È기 ÈÄ¿¡´Â ¹°·Î ¼öºÐ ä¿öÁà¾ß <»çÁø¼³¸í = ÇǺÎÀÇ ¶¡±¸¸Û(û»ö) ´Ü¸éÀ» 4000¹è·Î È®´ëÇÏ¿© ÃÔ¿µÇÑ »çÁø> ¿ì¸®.... ¤ÓÀ̹̳ª ±âÀÚ 2009-10-09
ÇǺθ¦ º¸È£ÇÏ´Â ÇÇÁö¼±
¼¼±ÕÁõ½Ä ¸·¾ÆÁÖ°í ÃËÃËÇÑ ÇǺΠÀ¯Áö½ÃÄÑ <»çÁø¼³¸í = ÇǺÎÀÇ ÇÇÁö¼± ºÐºñ¼¼Æ÷¸¦ ÀüÀÚÇö¹Ì°æÀ¸·Î 3õ¹è·Î È®´ëÇÏ¿© ÃÔ¿µÇÑ ÈÄ ÄÄÇ»ÅÍ·Î »ö»ó ó¸®Çß´Ù. ÁÖȲ»ö: ¼¼Æ÷Áú, ÆÄ¶õ.... ¤ÓÀ̹̳ª ±âÀÚ 2009-09-11
¸ð±â°¡ ¿Å±â´Â ¹«¼­¿î º´ ¡®¸»¶ó¸®¾Æ¡¯
<»çÁø¼³¸í = ¸»¶ó¸®¾Æ ¿øÃæ(ÆÄ¶õ»ö)ÀÌ ÀûÇ÷±¸(ºÓÀº»ö) ¾ÈÀ¸·Î µé¾î°¡ ÀÚ¸® Àâ°í ÀÖ´Â ¸ð½ÀÀ» ÀüÀÚÇö¹Ì°æÀ¸·Î ÃÔ¿µÇß´Ù. 5000¹è È®´ë> ¿©¸§Àº ³ëÃâÀÇ °èÀýÀÌ´Ù. ´õ.... ¤ÓÀ̹̳ª ±âÀÚ 2009-08-06
¿©¸§Ã¶ ºÒû°´ Ȳ»öÆ÷µµ»ó±¸±Õ
½ÄÁßµ¶ ÀÏÀ¸Å°°í, »óó µ¡³ª°Ô ÇÏ´Â µ¶¼º Áö³àÀ½½Ä¹° ¿À¿°µÇÁö ¾Êµµ·Ï °¢º°È÷ ÁÖÀÇÇØ¾ß <»çÁø ¼³¸í = ½ÇÇè½Ç¿¡¼­ ¹è¾çÀ» ÇÏ¸é ³ë¶õ»öÀÇ ±º¶ôÀÌ ¸¸µé¾îÁö¸ç Çö¹Ì°æÀ¸·Î º¼ ¶§ .... ¤ÓÀ̹̳ª ±âÀÚ 2009-07-10
¾Æµ¥³ë¹ÙÀÌ·¯½º¿Í ¿©¸§Ã¶ ´«º´
¼Õ ±ú²ýÀÌ ÀÚÁÖ ¾Ä±â µî Àü¿°º´ ¿¹¹æ Áß¿ä <»çÁø = ´«ÀÇ °¢¸·¿¡ ¿°Áõ(°á¸·¿°)À» À¯¹ßÇÏ´Â ¾Æµ¥³ë¹ÙÀÌ·¯½ºÀÇ ÀüÀÚÇö¹Ì°æ»çÁø. Á¡À¸·Î °üÂûµÇ´Â °Í Çϳª Çϳª°¡ ¹ÙÀÌ·¯½ºÀÌ´Ù.... ¤ÓÀ̹̳ª ±âÀÚ 2009-06-12
Ç÷¾×°ú Ç÷°ü ³»º® ¿¬°áÇÏ´Â ³»ÇǼ¼Æ÷
°Ç°­ÇÑ ¸öÀº °Ç°­ÇÑ Ç÷°üÀ» À¯ÁöÇÏ´Â °Í°íÇ÷¾Ð, ´ç´¢, Èí¿¬Àº ³»ÇǼ¼Æ÷ º´µé°ÔÇØ <»çÁø¼³¸í = Á÷°æÀÌ ¾à 10¸¶ÀÌÅ©·Î¹ÌÅÍÀÇ ¸ð¼¼Ç÷°üÀ» Ⱦ´Ü¸éÀ¸·Î Àß¶ó¼­ ³»ÇǼ¼Æ÷(û»ö)¿Í.... ¤ÓÀ̹̳ª ±âÀÚ 2009-05-08
¿ì¸® ¸ö À§ÇùÇÏ´Â À§ÇèÇÑ Ç÷Àü(¾îÇ÷)
Ç÷¾×ÀÀ°í·Î ÇǼøÈ¯ ¹æÇØ, ³ú°æ»ö µî ÀÏÀ¸ÄÑ <»çÁø: Çǰ¡ ÀÀ°íµÈ Ç÷ÀüÀÇ ÀüÀÚÇö¹Ì°æ»çÁø>±×¸®½ºµµÀο¡°Ô ¼øÈ¯ÇÏ´Â ÇÇ´Â »ý¸íÀ̸ç ÇÇ È긲Àº Á×À½ÀÇ »ó¡ÀÌ´Ù. ¿µ±¤µÈ ºÎȰÀÇ .... ¤ÓÀ̹̳ª ±âÀÚ 2009-04-10
»ç¶÷¿¡°Ô¸¸ ³ªÅ¸³ª´Â ¼¾¸Ó¸®¿Í Å»¸ð
µ¿¹°°ú ´Þ¸® ¿Ü¸ð·Î ¿¬·û ´À³¥ ¼ö ÀÖ¾î ¾î¸£½ÅÀ» °ø°æÇ϶ó´Â Çϳª´ÔÀÇ ¶æ <»çÁø¼³¸í = ¸ð±ÙÀÇ À¯ÀüÀû ÀÌ»óÀ¸·Î ¸Ó¸®Ä«¶ô Ç¥¸éÀÌ ºÎ¼­Áö°í ±ú¾îÁø ÀüÀÚÇö¹Ì°æ »çÁø>ÇǺθ¦ .... ¤ÓÀ̹̳ª ±âÀÚ 2009-03-05
ÄáÆÏÀÇ ¼¼´¢°ü
¸öÀÇ ³ëÆó¹° ¹ö¸®°í ÇÊ¿ä ¼ººÐ ã¾Æ Ç×»ó¼º À¯Áö»ç±¸Ã¼°¡ ¿©°úÇÑ ¹° °É·¯³» ÀçȰ¿ë µµ¿Í <»çÁø¼³¸í = ÄáÆÏÀÇ ¼¼´¢°ü(»ì±¸»ö)¿¡ ¿ÀÁÜ(¹Ì»ö)ÀÌ Áö³ª´Â ÀüÀÚÇö¹Ì°æ »çÁø>.... ¤ÓÀ̹̳ª ±âÀÚ 2009-02-06
¾µ°³¾×(´ãÁó)ÀÇ ÁÖ¿ä ¿ø·á´Â ºô¸®·çºó
°£¿¡¼­ ÆÄ±«µÈ ÀûÇ÷±¸ ³ë¶õ»ö¼Ò·Î º¯ÇØ <»çÁø: °£°ú ¿¬°áµÈ ¾µ°³°ü(°¥»ö)À¸·Î ±× ³»ºÎ¿¡ ¾µ°³¾×ÀÌ È帥´Ù. ÀüÀÚÇö¹Ì°æ»çÁø> »ç¶÷ÀÇ °£¿¡¼­ ÇÏ´Â ¼ö¸¹Àº ÁÖ¿ä±â´É Áß¿¡´Â .... ¤ÓÀ̹̳ª ±âÀÚ 2009-01-09
¿ì¸®¸ö¿¡¼­ °¡Àå Áß¿äÇÏ°í Æ¯º°ÇÑ ÀÚÀ²½Å°æ
ÀÎüÀÇ ¸ðµç Ȱµ¿°ú °¢Á¾ È£¸£¸ó ºÐºñ Á¶Àý±ÕÇü ±úÁö¸é ³»Àå±â°ü Àå¾Ö, Á¤½ÅÀû Áúȯ ¹ß»ý <»çÁø: ÇϳªÀÇ ÀÚÀ²½Å°æ¼¼Æ÷ÀÇ ÀüÀÚÇö¹Ì°æ»çÁø. û»ö= ÀÚÀ²½Å°æ¼¼Æ÷ÀÇ ÇÙ> .... ¤ÓÀ̹̳ª ±âÀÚ 2008-12-12
 1 ¤ý 2 ¤ý 3 ¤ý 4 ¤ý 5 ¤ý 6 ¤ý 7 ¤ý 8 ¤ý 9